Skip to main content

Lip Lift / Lip Lift Rhinoplasty

히든절개 인중축소

#HIDDEN SCAR #보이지 않는 흉터

리트머스 히든절개 인중축소는 코와 윗입술 사이의 거리를 줄여
중안면부의 균형을 개선하고, 보다 어려 보이는 인상을 만드는 수술입니다.

Surgery Information

수술시간 1시간 내외
절개 부위 콧기둥 및 콧구멍 안쪽 (HIDDEN SCAR 방식)
실밥 제거 7일 후
마취 방법 수면마취
회복 기간 7일
내원치료 수술 후 1회
입원치료 당일귀가

Lip Lift / Lip Lift Rhinoplasty

히든절개 인중축소

#HIDDEN SCAR #보이지 않는 흉터

리트머스 히든절개 인중축소는 코와 윗입술 사이의 거리를 줄여
중안면부의 균형을 개선하고, 보다 어려 보이는 인상을 만드는 수술입니다.

Surgery Information

수술시간 1시간 내외
절개 부위 콧기둥 및 콧구멍 안쪽 (HIDDEN SCAR 방식)
실밥 제거 7일 후
마취 방법 수면마취
회복 기간 7일
내원치료 수술 후 1회
입원치료 당일귀가
리트머스성형외과 히든절개 인중축소 설명 이미지

Retmus Plastic Surgery

정승일박사의 인중축소술이란?

인중축소술(Lip Lift)은 코와 윗입술 사이의 긴 인중을 줄여
얼굴의 균형과 비율을 자연스럽게 개선하는 수술입니다.

인중이 길면 얼굴이 길어 보일 뿐 아니라,
나이가 들어 보이는 인상을 줄 수 있습니다.

인중축소술을 통해 짧아진 인중은 얼굴을 더 입체적으로 보이게 할 뿐만 아니라,
동안처럼 어려 보이는 인상을 만들어 줍니다.

리트머스 인중축소는 단순히 길이만 줄이는 것이 아니라,
치아 노출 · 윗입술 볼륨 · 중안면 비율까지 정밀하게 고려해
얼굴 전체의 조화를 완성하는 고난도 심미 수술입니다.

Retmus Plastic Surgery

Global Standard 세계가 인정한 리트머스 인중축소

SCI/SCIE 국제 학술지 등재로 검증된 새로운 수술법
정승일 박사, 새로운 인중축소 수술법 제시

정승일 박사는 SCI/SCIE 국제 학술지에 새로운 인중축소술을 발표하며 학계의 주목을 받았습니다.

특히, 흉터를 최소화한 인중축소술은 양악수술과 동시 시행으로
중안면부의 비율 개선과 축소 효과를 극대화 할 수 있는 혁신적인 수술입니다.

양악만으로 부족했던 중안면 축소, 리트머스는 가능합니다.

리트머스성형외과 정승일 이미지 학술지 등재 이미지

Retmus Plastic Surgery

기존 인중축소 절개 방식

인중축소술의 일반적인 수술방법을 안내해드립니다.

리트머스성형외과 기존 인중축소 절개방식 첫번째 이미지
  • Method 01
  • 코 밑 절개(황소뿔절개)

정면 흉터 노출 및 흉터의 늘어짐으로 인한 콧구멍 쳐짐이 발생할 수 있습니다.

리트머스성형외과 기존 인중축소 절개방식 두번째 이미지
  • Method 02
  • 입술경계선절개(홍순전진술)

입술 모양 변형이 올 수 있고 레드라인 흉터가 두드러져 보입니다.

기존 방식의 문제점을 개선한

리트머스 인중축소의 특별함

리트머스성형외과 인중축소의 특별함 설명 이미지

기존의 인중축소술의 문제를 개선해
혁신적인 수술방법으로 진행하고 있습니다.

  • 01
  • 비주·코안 절개로 흉터 노출 최소화 (Hidden Scar)
  • 02
  • 인중오목 (C-curve) 디자인으로 자연스러운 입체감 완성
  • 03
  • 비순각 개선으로 코와 입술의 조화로운 동안 비율 형성
  • 04
  • 구륜근을 상악골에 단단히 고정해 재발 가능성 최소화
  • 05
  • 코퍼짐 예방 효과까지 고려한 정교한 수술법
  • 06
  • 개인별 해부학 구조를 고려한 1:1 맞춤 디자인

Ideal Candidates

인중축소가 필요한 경우

  • 01
  • 코와 윗입술 사이 길이가 길어 얼굴이 전체적으로 길어 보이는 경우
  • 02
  • 웃을 때 치아 노출이 부족해 답답해 보이는 경우
  • 03
  • 치아교정/양악 수술 후 인중이 길어진 경우
  • 04
  • 인중이 길어져 나이가 들어 보이는 인상을 주는 경우
  • 05
  • 얼굴 비율(중안면)이 불균형해 균형 잡힌 인상을 원하는 경우
  • 06
  • 코성형 후 코끝이 들려 인중이 길어 보이는 경우
  • 07
  • 코끝이 처지거나 퍼져 보이는 인상과 함께 인중이 길어 보이는 경우
  • 08
  • 동안 효과와 더 입체적인 이미지 변화를 원하는 경우
  • 09
  • 기타 성형(코성형, 안면윤곽, 안면거상 등)과 함께 전체 밸런스가 필요한 경우
  • 10
  • 인중수술 후에도 재발되거나 만족스럽지 않아 재교정이 필요한 경우

Before & After

리트머스 인중축소 전후사진

리트머스 인중축소술 Key Point

리트머스성형외과 인중축소술 point 01 이미지
  • 이상적인 얼굴 비율
  • Point 01
리트머스성형외과 인중축소술 point 02 이미지
  • 이상적인 코, 인중, 입술의 비율
  • Point 02

리트머스 인중축소술은,
개개인에 최적화된 맞춤 수술이 가능합니다.

리트머스 인중축소술은 해부학적 구조를 고려한 디자인으로
개인별 특성에 최적화된 맞춤 수술을 제공합니다.

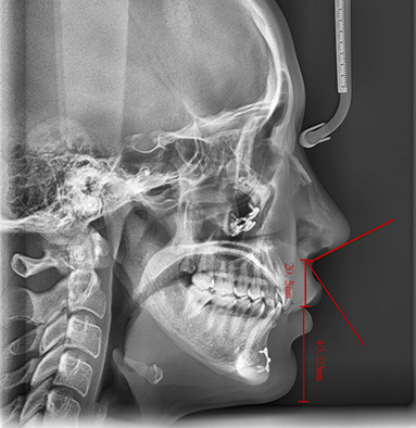
평균 4~5mm 정도 인중을 축소함으로써
얼굴 전체의 균형과 동안 효과를 기대할 수 있습니다.

또한 비주와 코 안쪽으로 절개하여 흉터가 외부로 노출되지 않으며
구륜근을 상악골에 견고하게 고정하기 때문에 재발 가능성도 최소화
됩니다.

더불어 콧볼퍼짐을 예방하고 콧볼이 넓은 경우에는 콧볼축소가 가능합니다.
또한, 얼굴이 평면적인 경우에는 코끝성형과 비주성형을 동시에 시행하여
인중과 코의 전체적인 밸런스를 더욱 정교하게 개선할 수 있습니다.

리트머스 인중축소술 Key Point

리트머스 인중축소술은,
개개인에 최적화된 맞춤 수술이 가능합니다.

리트머스 인중축소술은 해부학적 구조를 고려한 디자인으로
개인별 특성에 최적화된 맞춤 수술을 제공합니다.

평균 4~5mm 정도 인중을 축소함으로써
얼굴 전체의 균형과 동안 효과를 기대할 수 있습니다.

또한 비주와 코 안쪽으로 절개하여 흉터가 외부로 노출되지 않으며
구륜근을 상악골에 견고하게 고정하기 때문에 재발 가능성도 최소화
됩니다.

더불어 콧볼퍼짐을 예방하고 콧볼이 넓은 경우에는 콧볼축소가 가능합니다.
또한, 얼굴이 평면적인 경우에는 코끝성형과 비주성형을 동시에 시행하여
인중과 코의 전체적인 밸런스를 더욱 정교하게 개선할 수 있습니다.

Retmus Plastic Surgery

리트머스만의 차별화 포인트

“흉터는 감추고, 입체감은 드러낸다.
이것이 리트머스만의 차별화입니다.”

  • HIDDEN SCAR 흉터 최소화
  • 외부에 드러나지 않는 절개, 봉합으로 흉터를 최소화합니다.
리트머스성형외과 차별화포인트 첫번째 이미지
  • 예술적 디자인 감각
  • 인물화를 그리듯 정밀하게 얼굴을 분석해, 개개인에게 최적화된 맞춤 디자인과 수술 계획을 제시합니다.
리트머스성형외과 차별화포인트 두번째 이미지
  • 입체적 변화, 작은 얼굴 효과
  • 밋밋한 인중을 C컬라인으로 교정해 얼굴이 더 작고 입체적으로 보이게 개선합니다.
리트머스성형외과 차별화포인트 세번째 이미지
  • 자연스러운 볼륨감
  • 인중에 입체적인 볼륨을 더해 얼굴 전체의 균형과 조화를 완성합니다.
리트머스성형외과 차별화포인트 네번째 이미지
  • 프리미엄 술식 (Premium Technique)
  • 정승일 대표원장이 직접 개발한 독창적 방법으로, 섬세하고 안전한 수술 집도합니다.
리트머스성형외과 차별화포인트 다섯번째 이미지

리트머스 인중축소술 수술유형

리트머스 인중축소술 Key Point

단순히 코끝만 높인다고 해서 돌출입이 개선되거나 세련된 옆모습이 완성되지는 않습니다.

리트머스성형외과의 비순각 교정술은 코끝과 인중의 비율을 함께 고려하여,
좁아진 비순각의 이상적인 각도와 인중 길이를 정밀하게 교정하는 방식으로 진행됩니다.

이를 통해 단순히 코 모양만 바뀌는 것이 아니라,
얼굴 전반의 균형이 잡히고, 돌출입이 자연스럽게 개선되며, 옆모습이 입체적이고 세련되게 변화합니다.

특히 정승일 대표원장의 노하우가 담긴 리트머스의 맞춤 디자인은,
개개인의 얼굴 골격과 조화를 고려한 정밀한 교정으로 가장 이상적인 비순각과 옆라인을 찾아드립니다.

리트머스성형외과 비순각 교정술 전후 일러스트 이미지
리트머스성형외과 비순각 교정술 일러스트 이미지

가장 이상적인 리트머스 비순각 라인

리트머스성형외과 비순각 교정술 전 일러스트 이미지

비순각을 고려하지 않은 코수술 라인

리트머스성형외과 비순각 교정술 후 일러스트 이미지

비순각과 인중의 길이를 고려한 정밀한 교정

리트머스성형외과 비순각 교정술 후 일러스트 이미지

가장 이상적인 리트머스 비순각 라인

리트머스 비순각의 효과

  • Retmus effect 01
  • 이상적인 인중 비율과 입술 라인
  • Retmus effect 02
  • 돌출입ㅣ오리입 개선
  • Retmus effect 03
  • 중안면부 축소 및 동안 효과
리트머스성형외과 비순각 효과 첫번째 이미지
리트머스성형외과 비순각 효과 두번째 이미지
리트머스성형외과 비순각 효과 세번째 이미지

개인의 얼굴형에 맞춘 정교한 인중 비율과 모양 교정으로,
입술 라인이 더욱 자연스럽고 조화롭게 이어집니다.

인중의 각도와 길이를 조정하여, 튀어나와 보이는
돌출입과 오리입을 교정
해 부드럽고 세련된 인상을 완성합니다.

불필요하게 길어 보이는 중안면부를 줄여 이상적인 얼굴 비율
만들고, 더욱 어려 보이는 동안 효과를 기대할 수 있습니다.

  • Retmus effect 01
  • 이상적인 인중 비율과 입술 라인
리트머스성형외과 비순각 효과 첫번째 이미지

개인의 얼굴형에 맞춘 정교한 인중 비율과 모양 교정으로,
입술 라인이 더욱 자연스럽고 조화롭게 이어집니다.

  • Retmus effect 02
  • 돌출입ㅣ오리입 개선
리트머스성형외과 비순각 효과 두번째 이미지

인중의 각도와 길이를 조정하여, 튀어나와 보이는
돌출입과 오리입을 교정
해 부드럽고 세련된 인상을 완성합니다.

  • Retmus effect 03
  • 중안면부 축소 및 동안 효과
리트머스성형외과 비순각 효과 세번째 이미지

불필요하게 길어 보이는 중안면부를 줄여 이상적인 얼굴 비율
만들고, 더욱 어려 보이는 동안 효과를 기대할 수 있습니다.

C컬라인 인중오목술 Hidden Scar C-curve

밋밋하고 긴 인중은 얼굴을 평면적으로 보이게 하고 입체감을 떨어뜨립니다.
리트머스성형외과 정승일 대표원장이 직접 개발한 HIDDEN SCAR C컬라인 인중오목술은 이러한 고민을 해결하는 독창적인 수술법입니다.

코 밑의 외부가 아닌 코 안의 미세절개를 통해 불필요한 두께의 지방을 섬세하게 제거하고,
볼륨감을 만들어주어
옆모습에서 자연스럽고 매끄러운 C컬라인 곡선을 만들어줍니다.
수술 후에는 인중에 볼륨감이 살아나고, 얼굴이 훨씬 작고 입체적으로 보이는 효과를 기대할 수 있습니다.

리트머스 C컬라인의 특징

리트머스성형외과는 단순한 교정이 아닌, 입체적이고 미적인 라인 완성을 목표로 합니다.
정승일 대표원장이 직접 집도하며, 환자 개개인의 얼굴 조화와 비율을 고려한 맞춤 디자인을 통해 가장 자연스럽고 세련된 결과를 선사합니다.

리트머스성형외과 C컬 인중오목술 일러스트 이미지
리트머스성형외과 인중오목술 일러스트 이미지
리트머스성형외과 인중축소 c컬 전 일러스트 이미지
리트머스성형외과 인중축소 c컬 후 일러스트 이미지
리트머스성형외과 인중축소 c컬 후 일러스트 이미지

리트머스 인중 라인 교정술

리트머스성형외과 인중기둥성형술 이미지

인중기둥 형성술

인중의 골곡이 없어 입체감이 부족해 보이는 경우, 리트머스만의 정밀 술식으로
인중 기둥을 새롭게 형성해 입체적인 라인을 만들어드립니다.
자연스러운 인중 곡선을 더해 얼굴의 중심부가 또렷하고 조화롭게 개선됩니다.

리트머스성형외과 인중골재생술 이미지

인중 골 재생술

인중 윗부분의 골곡을 개선하여 얼굴의 미적인 균형을 끌어올리는 방법입니다.
정승일 대표원장의 독창적인 재생술식은 단순히 꺼진 부위를 채우는 것이 아니라,
인중 전체의 볼륨과 입체감을 살려 작은 얼굴 효과까지 기대할 수 있습니다.

리트머스 콧날개 올리기 Alar Lift

리트머스성형외과 콧날개올리기 이미지

콧날개 올리기 수술 목적

  • 01
  • 코수술로 인한 콧날개 처짐 교정
  • 02
  • 노화로 인해 늘어진 콧날개 개선
  • 03
  • 옆으로 퍼져 보이는 콧볼 정리
  • 04
  • 두꺼운 콧망울로 답답한 인상 교정
  • 05
  • 웃을 때 콧날개가 심하게 내려오는 경우 개선

콧날개 올리기 수술 방법

리트머스성형외과 콧날개올리기 수술방법 이미지

리트머스 콧날개 올리기는 단순한 축소가 아니라
콧구멍 모양과 각도를 교정해 세련된 코 라인을 완성합니다.

또한 중안면이 짧아 보이는 동안 효과까지 기대할 수 있습니다.

리트머스성형외과 콧날개올리기 모델 이미지

리트머스 콧날개 올리기,
이런 경우에 효과적입니다.

코수술 후 콧날개가 처져 보이는 경우

노화로 인해 늘어진 콧날개가 고민인 경우

옆으로 퍼져 보이는 콧볼때문에 답답해 보이는 경우

두꺼운 콧망울로 세련된 이미지가 어려운 경우

웃을 때 콧날개가 심하게 내려오는 경우

리트머스 콧날개 올리기는 단순한 축소가 아니라,
콧구멍 모양과 각도를 교정해 세련된 코 라인을 완성합니다.
또한 중안면이 짧아 보이는 동안 효과까지 기대할 수 있습니다.

수술 후 주의사항

수술 후 주의사항을 안내드립니다.

  • Q.
  • # 히든절개 인중축소Patient

    수술 후 어떤 부분을 주의해야 하나요?

  • # 히든절개 인중축소Retmus Plastic Surgery

    · 실밥 제거 전까지 절개 부위에 물 닿지 않게 주의하세요.
    · 붓기와 멍은 개인차가 있으나 1~2주 내로 호전됩니다.
    · 한달간 경락 및 피부과 시술은 삼가하세요.
    · 한달간 입술을 아래로 당기는 행동은 피해주세요.
    · 한달간 크게 웃거나, 입을 크게 벌리는 행동은 주의하세요.
    · 한달간 무리한 운동, 사우나, 찜질방은 피해주세요.
    · 한달간 음주와 흡연은 삼가하세요.
    · 윗입술 필러 시술은 담당의와 상의하세요.

  • A.